Before & After
Smile Transformations
See the stunning results our patients have achieved at Best Dental. Dr. Jasmine Naderi and Dr. Sonny Naderi combine artistic vision with clinical expertise to create beautiful, natural-looking smiles.
Schedule Your ConsultationReal Patients, Real Results
Every smile transformation below represents a real patient who trusted Best Dental with their cosmetic dentistry. Each case was carefully planned and executed to achieve natural-looking results that enhance confidence and quality of life.
About This Gallery
These before and after photos showcase a variety of cosmetic and restorative treatments including porcelain veneers, dental implants, teeth whitening, smile makeovers, orthodontics, and full mouth reconstruction. Every treatment plan was customized to each patient's unique needs, goals, and facial features.
All photos are of actual Best Dental patients who have consented to share their transformations. Results may vary based on individual circumstances, but these examples reflect the standard of care and artistry you can expect from our practice.
Smile Transformation Gallery
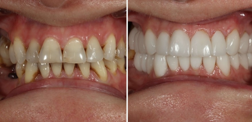
Smile Transformation #1
Beautiful cosmetic dentistry results showcasing dramatic smile improvement
Smile Transformation #2
Comprehensive smile makeover delivering natural-looking, stunning results
Smile Transformation #3
Complete smile transformation showcasing expert cosmetic dentistry
Smile Transformation #4
Dramatic dental makeover with beautiful, natural aesthetics
Smile Transformation #5
Life-changing smile makeover demonstrating exceptional dental artistry
Smile Transformation #6
Expert cosmetic dentistry delivering a complete smile transformation
The Treatments Behind the Smiles
These transformations were achieved through one or more of the following treatments — each customized to the patient's unique goals.
Porcelain Veneers
Thin ceramic shells transforming color, shape, and alignment in one comprehensive makeover
Dental Implants
Permanent tooth replacement that looks, feels, and functions like natural teeth
Professional Teeth Whitening
Brighten your smile by 6–10 shades with in-office or take-home whitening treatments
Dental Bonding
Quick, affordable cosmetic improvements for chips, gaps, and minor imperfections
Orthodontics
Straighten teeth with traditional braces, clear braces, or Invisalign clear aligners
Full Mouth Reconstruction
Comprehensive restoration of all or most teeth for a complete smile transformation
Gum Contouring
Laser reshaping of the gum line to create better smile proportions and symmetry
Complete Smile Makeovers
Multiple treatments combined and planned together for a harmonious total transformation
Years Combined Experience
Smiles Transformed
Expert Cosmetic Dentists
Customized Treatment Plans
During your consultation, Dr. Jasmine Naderi or Dr. Sonny Naderi will evaluate your smile, listen to your goals, and create a personalized treatment plan. Using advanced digital smile design technology, we can show you a preview of your potential results before treatment even begins.
Your Smile Transformation Starts Here
Ready to achieve the beautiful smile you've always wanted? The transformations you've seen are proof of what's possible with expert cosmetic dentistry. Dr. Jasmine and Dr. Sonny Naderi are ready to create a personalized plan that delivers stunning, natural-looking results tailored to you.